PERIODONCIA Dental
Periodoncia
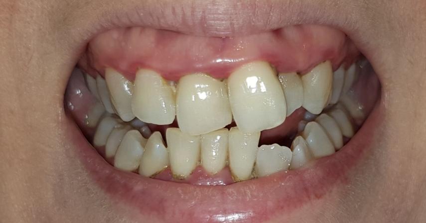
Es el área de la odontología que se dedica al tratamiento de las enfermedades que afectan a los tejidos que soportan al diente como las encías. Las enfermedades mas comunes son la gingivitis y la enfermedad periodontal, esta última provocando la movilidad y posterior perdida dental de no ser tratada adecuadamente.

¿Qué es la enfermedad Periodontal y por qué es importante tratarla?
La enfermedad periodontal, también conocida como piorrea, es una infección bacteriana crónica que afecta a las encías, el hueso alveolar y otros tejidos de soporte de los dientes. Si no se trata a tiempo, puede provocar la inflamación de las encías (gingivitis), la destrucción del hueso, la movilidad dental y, finalmente, la pérdida de dientes.
Las limpiezas regulares y en casos de enfermedad periodontal, los curetajes para eliminar el sarro y las bacterias en profundidad, son esenciales para paralizar o ralentizar el proceso
Ademas en nuestra clínica tratamos las recesiones dentales con injerto de encía u otras técnicas de cirugía periodontal adaptadas a cada caso siempre valoradas y realizadas por nuestro especialista en periodoncia y cirugía.