Blanqueamiento Dental en Jaén
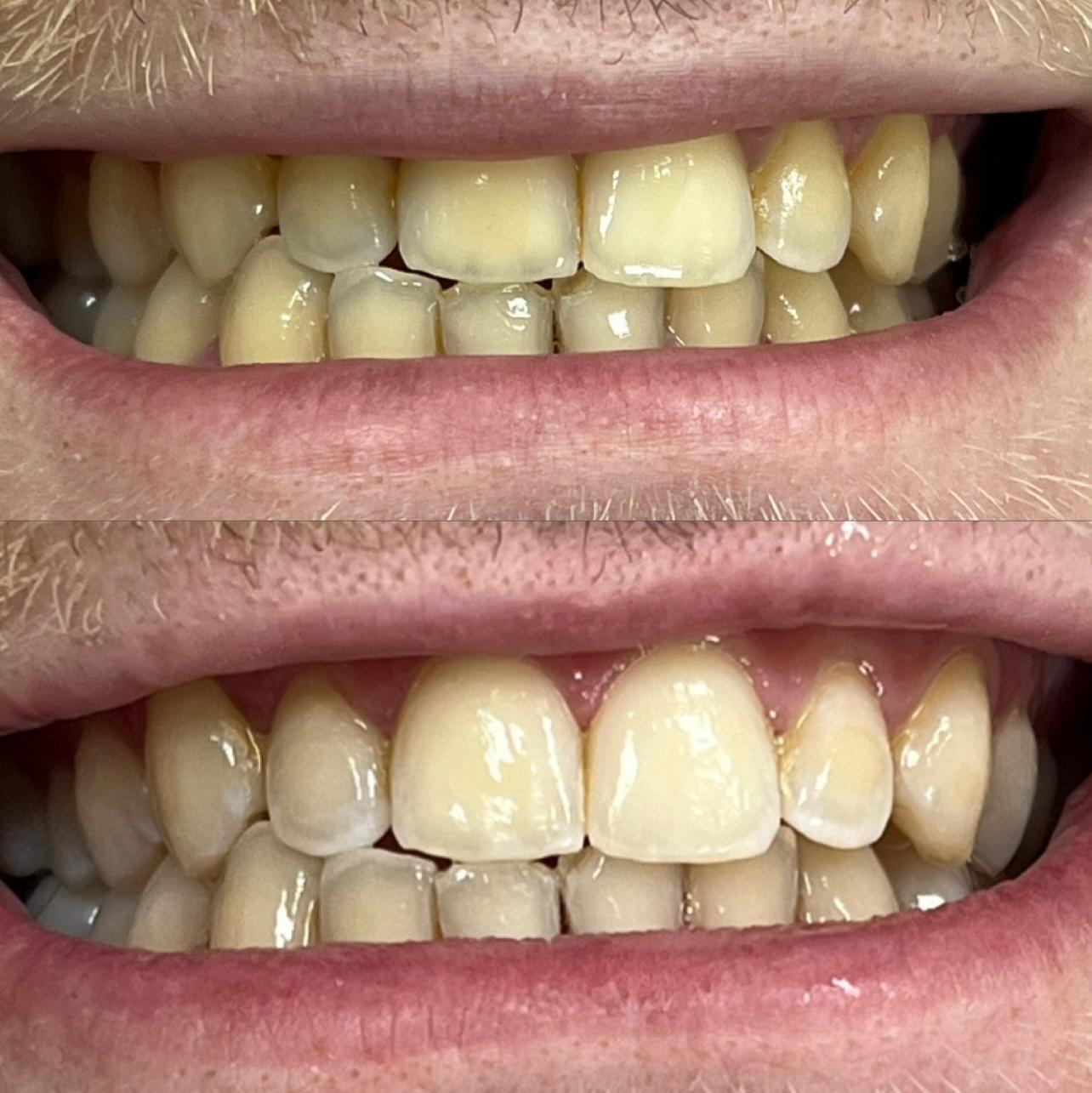
Resultados Profesionales
¿Qué es el Blanqueamiento Dental no Invasivo?
El blanqueamiento es un tratamiento no invasivo para aclarar o dar luminosidad a los dientes sin ninguna actuación invasiva sobre ellos.
Es un gel que se aplica sobre los dientes con una duración indicada según el tipo de blanqueamiento para que penetre el gel y destruya los pigmentos internos del diente.
Preguntas Frecuentes sobre Blanqueamiento Dental
¿Cuánto cuesta un blanqueamiento dental?
¿Cuánto cuesta un blanqueamiento dental?
El coste va desde 240 euros, según la tecnología utilizada y la duración del procedimiento.
¿Cuánto dura un blanqueamiento dental?
¿Cuánto dura un blanqueamiento dental?
Un blanqueamiento dental profesional puede durar entre 6 meses y 2 años, dependiendo de los cuidados posteriores, como evitar alimentos que manchan y mantener una buena higiene bucal.
¿Cómo se realiza un blanqueamiento dental?
¿Cómo se realiza un blanqueamiento dental?
El procedimiento consiste en aplicar un gel blanqueador en los dientes, que se activa con luz LED o láser. También existen opciones para realizarlo en casa, bajo supervisión odontológica.
¿Qué alimentos evitar después de un blanqueamiento dental?
¿Qué alimentos evitar después de un blanqueamiento dental?
Es importante evitar alimentos y bebidas que puedan manchar los dientes, como café, vino tinto, té, salsas oscuras y alimentos con colorantes artificiales. Se recomienda seguir una «dieta blanca» durante los primeros días.
¿Se puede comer huevo después de un blanqueamiento dental?
¿Se puede comer huevo después de un blanqueamiento dental?
Sí, los huevos son parte de la «dieta blanca» recomendada, ya que no manchan los dientes. También puedes consumir alimentos como arroz, pollo y pescados blancos.
Raquel Guerrero SimónTrustindex verifica que la fuente original de la reseña sea Google. Me realizó el servicio Cristina y quedé encantada con su dulzura y profesionalidad. Sin duda, ¡repetiré! Nono Rubio MillánTrustindex verifica que la fuente original de la reseña sea Google. Trato de 10 y servicio inmejorable. ¡Volveré! Veronica SalidoTrustindex verifica que la fuente original de la reseña sea Google. Llevaba tiempo pensando en ponerme ortodoncia y finalmente me he decidido ponerme invisalign en esta clínica. Me decidí por el trato tan cercano y profesional de todas las profesionales de la clínica, desde recepción hasta la doctora Araceli Jiménez, la que me ha puesto el tratamiento. Otra de las cosas que me hizo decidirme fue que trabajan con la marca invisalign, lo que me generes muchísima confianza y fiabilidad. Totalmente recomendable 🤗 Sandra SerranoTrustindex verifica que la fuente original de la reseña sea Google. Son amables y simpáticas me atienden muy bien. Llevo con la doctora 3 años y me realice carillas con ella y estoy encantada. Jose CarrascoTrustindex verifica que la fuente original de la reseña sea Google. Si buscas una clínica odontológica de confianza, ¡esta es perfecta! Tanto como profesional como personal, el trato es inmejorable super simpáticas y muy agradables, Incluso después de terminar el tratamiento, están ahí para ayudarte con cualquier duda o problema, muy muy top en el trabajo, así da gusto ir, el local es muy bonito y cuidadoso al detalle luego eso dice mucho, recomendable 100% saldrás con una bonita sonrisa nunca mejor dicho. Mª Luisa Frias FernándezTrustindex verifica que la fuente original de la reseña sea Google. Recomendable 100%. Equipo muy profesional y trabajo excelente Francisco SalidoTrustindex verifica que la fuente original de la reseña sea Google. Trato y profesionales muy buenos, he asistido para varios tratamientos con diferentes profesionales con grandes resultados con todos ellos. Luis GómezTrustindex verifica que la fuente original de la reseña sea Google. Muy recomendable esta clínica, un equipo muy profesional y el trabajo ha sido excelente. Repetiré sin duda. Juan Márquez MorenoTrustindex verifica que la fuente original de la reseña sea Google. Clínica muy recomendable y trato increíble y muy positivo por parte del equipo humano, especialmente de Cristina. Recomiendo 100% la clínica. Sin duda, volveré a repetir por su profesionalidad, amabilidad y el entorno de la clínica.
SANMILLÁN OROZCO
Contacto
Dirección
Av. de Madrid, 72, 23008 Jaén
Teléfono
654 79 74 39
sanmillanorozcoodontologia@gmail.com